Listeria monocytogenes from PHIL #2287

Listeriosis
 Listeria monocytogenes Psychrophilic Bacteria & Food Poisoning

CLASS NOTES from Science Prof Online



Listeria monocytogenes is a species of hardy 
Gram-positive bacteria, named after surgeon Dr. Joseph Lister and that can cause deadly food poisoning.

Recent Large-scale 
Listeria Outbreaks
This pathogenic bacterium seems to annually make headlines with outbreaks in 2014 linked to Roos Foods Dairy Products, 2013 from Crave Brothers Farmstead Cheeses, 2012 due to Imported Frescolina Marte Brand Ricotta Salata Cheese and in 2011 tainted
Article Summary: Listeria, a cold-tolerant microbe, can contaminate food and grow even under refrigeration. Here's what you need to know to protect yourself.
Listeriosis: Listeria monocytogenes Bacteria & Food Poisoning
Page last updated: 6/2014
Virtual Microbiology
Classroom






You have free access to a large collection of materials used in a college-level introductory microbiology course. The Virtual Microbiology Classroom provides a wide range of free educational resources including PowerPoint Lectures, Study Guides, Review Questions and Practice Test Questions.
Prokaryotic Cell, Mariana Ruiz
Images of Gram-stained Bacteria Button
SCIENCE PHOTOS
ANAT & PHYSGENERAL BIOCELL BIOMICRO 8wkMICRO 15wkINSTRUCTORS

facebook link
SPO twitter
Tamislinked in page
SPO VIRTUAL CLASSROOMS
Listeria monocytogenes from PHIL #2287Listeria monocytogenes from PHIL #2287
Listeria monocytogenes from PHIL #2287Listeria monocytogenes from PHIL #2287Listeria monocytogenes from PHIL #2287
Listeria monocytogenes from PHIL #2287Listeria monocytogenes from PHIL #2287Listeria monocytogenes from PHIL #2287Listeria monocytogenes from PHIL #2287
Listeria monocytogenes from PHIL #2287Listeria monocytogenes from PHIL #2287Listeria monocytogenes from PHIL #2287
Listeria monocytogenes from PHIL #2287Listeria monocytogenes from PHIL #2287
Listeria monocytogenes from PHIL #2287
Listeria monocytogenes from PHIL #2287Listeria monocytogenes from PHIL #2287
Instructor's Corner



Photographic guides to differential stains 
now available!
1. Gram
2. Acid-fast
3. Endopsore

Listeria monocytogenes grown on Biorad RAPID'L.Mono Agar
Listeria monocytogenes grown on Biorad RAPID'L.Mono Agar
whole cantaloupes from Jensen Farms, Colorado were the much publicized culprits that resulted in 147 cases of food poisoning and a death toll of 33 (~22%)., the most severe Listeria outbreak since 1985.

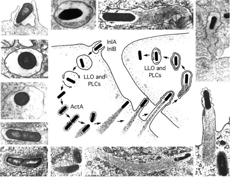
How Listeria Infects its Host
Listeria is a slow growing, but talented microbe with several features that make it an especially dangerous pathogen. It is considered a psychrophile; a microbe that can thrive at cold temperatures. While refrigeration slows the growth of most microbes, chilly temperatures do not inhibit Listeria.

Listeria is also an intracellular pathogen that tricks host body cells into engulfing the bacteria. Once inside a host’s cell, the bacterium can grow, thrive and stay hidden from the immune systems, as it spreads directly from cell to cell.

Who is at Risk from Listeria Infection?
Listeria is rarely dangerous to healthy adults, who, if infected, may show no symptoms, or develop a mild flu-like illness. However, listeriosis, the disease caused by Listeria monocytogenes, can be deadly in vulnerable populations, such as pregnant women, fetuses, infants, the elderly, and those with compromised immune systems. In these populations, the bacteria can travel through the blood to cause deadly meningitis, which kills up to 30% of vulnerable patients infected.

How to Protect Yourself and Your Family from Listeriosis
Although Listeria is most often found in animal products, and can be destroyed by cooking, the recent outbreak in fruit is a reminder that any food can be contaminated, particularly undercooked vegetables, lunch meats, unpasteurized milk, and cheeses.

For those populations at high risk, thoroughly cooking vegetables and meat, and avoiding high-risk raw products, can reduce the risk of infection. Although washing produce is no guarantee that dangerous microbes will be eliminated, it is always a good idea, as washing can reduce microbial populations on the surface of fruits and vegetables.

Treatment of Listeriosis
Antibiotics can be used to treat listeriosis, although the pathogen is resistant to some classes of antimicrobials. Ampicillin, penicillin, or amoxicillin are beta-lactam antibiotics often used to treat invasive listeriosis, and gentamicin is tyically added in patients with compromised immune systems. Trimethoprim-sulfamethoxazole, vancomycin, and fluoroquinolones can be used as alternatives, in cases of allergy to penicillin. Cephalosporins are not effective for treatment of listeriosis.

Sources & Resources
  • Bauman, R. (2014) Microbiology  with Diseases by Taxonomy, 4th ed., Pearson. Benjamin Cummings.

Stages in the intracellular life-cycle of Listeria monocytogene.

Stages in the intracellular life-cycle of Listeria monocytogenes. (Center) Cartoon depicting entry, escape from a vacuole, actin nucleation, actin-based motility, and cell-to-cell spread. (Outside) Representative electron micrographs from which the cartoon was derived. LLO, PLCs, and ActA are all described in the text. The cartoon and micrographs were adapted from Tilney and Portnoy (1989).
Steam Mops Sanitize the Floor With a Combination of Heat and ChemicalsSteam Mops Sanitize the Floor With a Combination of Heat and Chemicals
Steam Mops Sanitize the Floor With a Combination of Heat and ChemicalsSteam Mops Sanitize the Floor With a Combination of Heat and ChemicalsSteam Mops Sanitize the Floor With a Combination of Heat and Chemicals
Steam Mops Sanitize the Floor With a Combination of Heat and ChemicalsSteam Mops Sanitize the Floor With a Combination of Heat and ChemicalsSteam Mops Sanitize the Floor With a Combination of Heat and ChemicalsSteam Mops Sanitize the Floor With a Combination of Heat and Chemicals
Steam Mops Sanitize the Floor With a Combination of Heat and ChemicalsSteam Mops Sanitize the Floor With a Combination of Heat and ChemicalsSteam Mops Sanitize the Floor With a Combination of Heat and Chemicals
Steam Mops Sanitize the Floor With a Combination of Heat and ChemicalsSteam Mops Sanitize the Floor With a Combination of Heat and Chemicals
Steam Mops Sanitize the Floor With a Combination of Heat and Chemicals
Steam Mops Sanitize the Floor With a Combination of Heat and ChemicalsSteam Mops Sanitize the Floor With a Combination of Heat and Chemicals
SPO is a FREE science education website. Donations are key in helping us provide this resource with fewer ads. 
Please help!

(This donation link uses PayPal on a secure connection.)